HOME ≫ ホワイトニング・その他 ≫
ホワイトニング
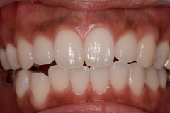
ホワイトニングとは、歯の表面に過酸化水素や過酸化尿素などのホワイトニング剤を塗布し、歯の表面の着色汚れと歯の内部の黄ばみを分解・漂白し、歯の色調を明るくする方法です。コーヒー・お茶・ワインや加齢などで着色・変色してしまった歯、抗生物質による軽度の変色歯の色調は、『ホワイトニング』をすることにより改善することが期待できます。
当院で行なっているホワイトニングの種類
❶ オフィスホワイトニング … 歯科医院で行う医療ホワイトニング
❷ ホームホワイトニング … 自宅で行うマウスピースを使用したホワイトニング
❸ デュアルホワイトニング … オフィスホワイトニングとホームホワイトニングの併用
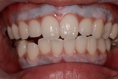
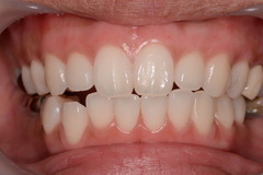
❶オフィスホワイトニング
オフィスホワイトニングは歯科医院で行い、その日のうちに効果が期待できるホワイトニングです。
漂白前後の歯の色をVITAクラシカルシェードガイドを用いて明度差を評価した結果、大半は3シェード以上改善されるとの報告があります。
ホワイトニングの効果を高めるには、過酸化水素濃度の高いホワイトニング材を用いる必要があります。しかし濃度が高くなればなるほど、知覚過敏などのリスクも高まります。
当院で使用している、GC社のティオン オフィスは新技術「可視光応答型光触媒V-CAT(TiO2-xNx)」の応用により、比較的低い濃度(約23%)の過酸化水素で低刺激にもかかわらず、高いホワイトニング効果を得ることが期待できます。
| オフィスホワイトニングの流れ | |
| Step-1 | 口腔内写真の撮影:ホワイトニング前の歯の色を記録します |
|---|---|
| Step-2 | 歯のクリーニング:効果的なホワイトニングのために、歯の表面を磨きます |
| Step-3 | 口唇・歯肉の保護:ホワイトニング剤が口唇・歯肉に触れないよう保護します |
| Step-4 | ホワイトニング剤の塗布:歯の表面にホワイトニング剤を塗布します |
| Step-5 | 光を照射:光を当ててホワイトニング効果を促進させます |
| Step-6 | STEP4・5を数回繰り返す |
| Step-7 | トリートメント:歯肉の保護を外し、最後に歯の表面をクリーニングします |
| Step-8 | 口腔内写真の撮影:最後にホワイトニング後の写真を撮り比較します |
| 約90分でホワイトニング終了! | |
❷ ホームホワイトニング
歯科医院でホワイトニング用のマウスピースを作製し、その後ご自宅で行うホワイトニングです。| ホームホワイトニングの流れ | ||
| 歯科医院 | Step-1 | マウスピースの作製:上下顎の型取りをします 出来上がりは約1週間後 |
|---|---|---|
| Step-2 | 歯のクリーニング:効果的なホワイトニングのために、歯の表面をクリーニングします | |
| 自宅 | Step-3 | ホワイトニング前の歯磨き |
| Step-4 | ホワイトニング剤の注入:1歯あたり米粒2つ分を目安に注入する | |
| Step-5 | マウスピース装着:マウスピースからジェルがあふれた場合は、すぐに拭き取ってください | |
| Step-6 | 1日1回・装着時間は2時間まで | |
| Step-7 | ホワイトニング後の歯磨き:ホワイトニング剤をしっかり落としてください | |
| Step-8 | マウスピースの洗浄:マウスピースに残ったジェルは歯ブラシ等で洗浄してください | |
| 約2週間でホワイトニング終了! | ||
ホワイトニング後の飲食について
ホワイトニング直後は、酸性の食品や飲料の摂取は避けてください。24時間は色の濃い飲食物の摂取、色の濃いうがい薬の使用、喫煙は控えてください。
注意事項
- ホワイトニングの効果は、個人により異なります。全ての方が必ずしも現在の状況から改善されるという保証はありません。
- 治療して詰めた物や被せ物の色調は変化しないため、これらと歯の色調が異なって見えるようになりますので、目立つ場合は詰め直しなどの処置が必要になります。
- 抗生物質による強い変色や金属による変色など、変色の原因によっては色調の変化が見込めないことがあります。
- ホワイトニング後約2週間の間に色が多少後戻りしますが、その後は比較的安定します。後戻りの程度や期間には個人差がありますが、後戻りの防止にはセルフケアと数ヶ月に一度の歯面清掃が重要です。また後戻りしても再度ホワイトニング(タッチアップ)すれば改善が期待できます。
- ホワイトニングにより、知覚過敏・歯肉の熱感・粘膜の潰瘍・歯の痛みなどが生じる可能性があります。
これらは一時的なもので、通常数日で治ります。すでに知覚過敏の傾向にある場合は、ホワイトニングを行うことでさらに悪化する可能性があります。 - 虫歯や歯周病がある場合は、ホワイトニングの前に治療を優先に行います。
- ホワイトニングを行うと、歯の表面に白い斑点や帯が現れることがあります。
これはもともと歯にあるものが、ホワイトニングより強調されたもので、数日経つとまわりに馴染みますが、それでも気になる場合はご相談ください。
禁忌事項
下記の疾患がある方にはホワイト二ングを施術できません。
- 妊娠中の方
- 小児
- 無カタラーゼ症の方(過酸化物を分解できないため)
- メタクリレート系ポリマー、メタクリレート系モノマー、エタノールに対する発疹、皮膚炎などの過敏症の既往歴のある方
- アルコールに対しアレルギーのある方
- 軽度でも気管支炎及び喘息の方
- 光線過敏症の方
ガムピーリング
ガムピーリングとは、紫外線・喫煙(受動喫煙)・歯ブラシや食べ物の刺激・口呼吸などによりメラニン色素が沈着して黒ずんでしまった歯肉を、一層剥ぐことでキレイなピンク色の歯肉に改善する治療です。当院では、フェノールという薬剤を用いて、メラニン色素の沈着した歯肉を一層剥ぐ『ケミカルピーリング』を行なっております。
| ガムピーリングの流れ | |
| Step-1 | 術前チェック:事前に歯肉の黒ずみが歯周病や金属由来ではないか確認します |
|---|---|
| Step-2 | 口唇の保護:薬剤が口唇に触れないよう保護します |
| Step-3 | 薬剤の塗布:色素沈着部にフェノールを塗布後、エタノールで拭き取り中和します |
| Step-4 | Step-3を3回程繰り返す |
| Step-5 | 水洗・洗口 |
| 約30分でピーリング終了! (1週間後術野の確認を行います) | |
※1回でキレイになる方が多いですが、個人差により色素沈着が強い場合はキレイになるまでに数回治療が必要な場合があります。
注意事項
- ガムピーリング後、刺激の強い食べ物はお控えください。
- 個人差はありますが、火傷をしたようなヒリヒリした痛みを感じる場合があります。
- 薬剤を塗布した部分が白くなり、1週間程で剥がれ落ちキレイな歯肉になります。自然に剥がれるまで無理に剥がさないようにしてください。
- 生活習慣によっては、再度色素沈着が起こる場合があります。
- 金属の詰め物・被せ物による歯肉の変色、歯周病による歯肉の黒ずみは、ガムピーリング では改善できません。
- フェノール・アルコール類のアレルギーがある方、妊娠中の方は施術を受けられません。
咬筋ボツリヌス治療とは
グラム陽性偏性嫌気性桿菌であるボツリヌス菌が産生する菌体外毒素(ボツリヌス毒素・ボツリヌストキシン)から抽出されるタンパク質を、直接咬筋に注入することで筋肉の緊張をほぐす治療です。
ボツリヌストキシンには、神経から筋肉への伝達を抑制する働きがあり、筋肉の緊張を緩める・疼痛を和らげる・分泌腺からの分泌物を抑制するという、主に3つの働きが挙げられます。
ボツリヌス菌そのものを注射するわけではないので、感染する危険はありません。
ボツリヌス注入療法は、日本では1996年に眼瞼痙攣、2000年に片側顔面痙攣、2021年に痙性斜頸への治療が厚生局の承認を受けています。美容医療では、シワ取りの治療、小顔治療として一般に使用されている安全な治療方法です。
歯科領域では、2011年頃から導入されていますが、現在ボツリヌス療法は保険適応されていないため、治療を行う際は自費治療となります。
筋性の顎関節症や咬筋肥大の改善では、咬合力をコントロールすることで、歯周治療・補綴治療・歯内療法・インプラントや義歯などで生じる様々な問題点にアプローチすることができ、治療をスムーズに進める大きな一助となります。
ボツリヌストキシンの作用は可逆性で、投与後数日~1ヶ月前後で奏功し、数ヶ月持続します。一定間隔をあけて反復投与することにより、底上げ効果が期待でき、個人差がありますが症状の再発まで徐々に時間がかかるようになり、効果の持続期間は長くなる傾向があります。
ダウンタイムは特にありませんので、すぐに日常生活が送れます。
咬筋のセルフチェック方法
❶力を抜いて、エラの部分に手を当てます。
❷奥歯でグッと強く噛み締めます。2、3回繰り返してみてください。
❸噛み締めて動く筋肉が咬筋です。
❹噛み締めた咬筋が、硬く(強い)ボコッと盛り上がると感じたらご相談ください。
表面筋電計検査
咬筋の強さを、ホルター筋電計付刺激装置 MyOnyx(マイオニクス)を使用し測定します。
所要時間:10分
費用:保険診療
施術後の注意事項
- ボトックス注入後は患部を清潔にしてください。まれに注射部位に紅斑・内出血などがみられることがありますが、症状は1週間程度で消失します。
- ボツリヌスの取り込みが阻害されるため、施注部は冷却しないでください。
- ボツリヌストキシンの効果発現にともない、治療後数日は局所的な筋肉の疲労感・脱力感などの違和感がみられることがありますが、いずれも一過性であり経過とともに消退します。
- この薬剤はタンパク質が主成分であるため、治療を続けていくうちに、ごく稀に体内に抗体が作られ、効果が減弱する可能性があります。
- 施述当日は長時間の入浴・サウナ・激しい運動・過度な飲酒は避けてください。また注射部位を強く揉まないようにしてください。
- 妊活中の方は、最終投与後から女性は月経2回、男性は3ヶ月経過するまで避妊をしてください。
禁忌事項(以下の方は施術ができません)
- 神経筋伝達機構の障害を伴った疾患(重症筋無力症・筋萎縮性側索硬化症など)
- 筋肉の弛緩作用を持つ薬を服用中
- 重篤な心疾患または肝・腎疾患
- 喘息などの慢性的な呼吸器障害
- 抗凝固薬を服用中
- 閉塞隅角緑内障
- 過去にボツリヌストキシン治療でアレルギー反応を起こしたことがある
- 注射部位に炎症を起こしている
- 薬剤過敏症
- 妊娠中、授乳中の方
遅延型フードアレルギー検査
食事を摂りすぐに湿疹などの反応が出てしまう食物アレルギーは主にigE抗体が原因の即時型アレルギーと言います。
それに対して食後、数時間から数日後に様々な形で体調不良を起こしている食物アレルギーは主にigG抗体による遅延型アレルギーと言われています。
食べてからの時間や症状がまちまちで、体調不良が食事から起こっているとは考えにくい為、気づかない事が多いと言われています。
私たち人間は口から食物を体内に入れ、その栄養素を取り込む事で生きています。
好みの食べ物をついつい偏って食べたり、流行りの食材に目が行きがちですが、日々何気無く摂りすぎている物がアレルギーの原因となっている事が多く見受けられます。一度ご自分の状態を確認してみてはいかがでしょうか。
※当院に通院されておらず検査のみの方は自費初診料¥5,500が別途かかります。
矯正治療
Step-1 無料相談
お口の状態を拝見し、おおよそのお口の状態と治療の流れ、料金等をご説明いたします。相談は無料で行っております。
先ずはお気軽に一度ご相談ください。
日程はトップページにてご確認ください。
Step-2 精密検査
お口の中の状態を正確に把握するために精密検査を行います。
診断時の記録や参考資料として、口腔内写真、顔写真、歯型、噛み合わせ、レントゲン写真を撮ります。
Step-3 診断
検査の資料をもとに今現在の状態と、今後の治療方針、治療期間、料金等についてご説明いたします。
矯正治療自体、解りづらいことも多いと思いますので、コンピューター解析による予測図をお見せしながら、疑問・質問に納得いただけるようご説明いたします。
Step-4 装置の装着
装置により所要時間は異なりますが、小児の取り外し可能な装置で約30分、成人の歯に全体的に接着する装置で約60分ほどお時間がかかります。
その他に付加装置が必要でしたらその分お時間がかかります。
Step-5 歯の移動
矯正装置装着後は1ヶ月に1度の来院し調整が必要です。所要時間は内容により異なりますが、 1回の調節に約30~60分かかります。
積極的に歯を動かしていくのに半年で終わる人もいれば、2年半必要な方もおり、期間はさまざまです。
Step-6 装置除去・保定管理
良い歯並びになり、歯を移動する装置をはずすと同時に、噛み合わせを安定させる(保定)装置に変わります。
保定管理となってから約2年、3~6ヶ月に1回の通院でアフターケアを行います。この間、保定装置の調節、虫歯や歯周病の予防指導、一般歯科、審美歯科治療のご相談を行います。
Step-7 定期通院終了
定期的な通院は終了となりますが、ここからは患者様自身が主治医となるセルフケアのスタートです。
老化による歯並びの変化を最小限に抑える意味では夜間就寝時の保定装置の使用継続を強く推奨いたします。
また、ご希望がありましたら、その後も保定装置のチェック、調節、歯のクリーニング等も行います。
医療費控除に関するご案内
その年の1月1日から12月31日までの間に自己又は自己と生計を一にする配偶者やその他の親族のために医療費を支払った場合において、その支払った医療費が一定額を超えるときは、その医療費の額を基に計算される金額の所得控除を受けることができます。これを医療費控除といいます。本人または本人と生計を1つにする配偶者や家族が支払った医療費が、年間で合計10万円を超える場合に、医療費が控除され税金が還付される制度です。
控除金額の計算式
1年間(1/1~12/31)に支払った医療費の総額 - 10万円 = 医療費控除額
※医療費控除の上限額は200万円です
還付を受けるために必要なもの
- 確定(還付)申告書 (給与所得者は源泉徴収票)
- 領収書(コピー不可)
- 印鑑
- 銀行支店・口座番号が分かるもの
※確定(還付)申告書は地元の税務署に置いてあります。
※申告期間は翌年の2月16日から3月15日の間です。
医療費控除の対象となる医療費
- 医師・歯科医師に支払った診療費・治療費
- 治療のための医薬品購入費
- 通院・入院のための通常必要な交通費 (電車賃・バス代・タクシー代 など)
医療費控除の詳細はこちら【国税庁ホームページ】




